医脉通编译,转载请注明出处

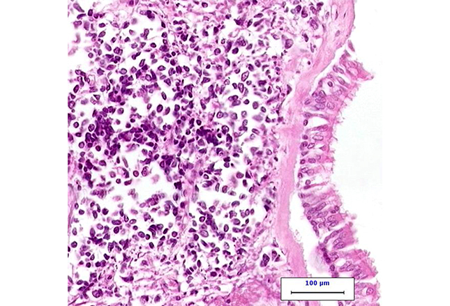
小细胞肺癌(SCLC)曾被认为是燕麦细胞癌。无论是临床学特征或是生物学特征上,SCLC与非小细胞肺癌(NSCLC)均有明显的不同。这张HE染色的高倍视野显微图片的左侧为SCLC,右侧为正常呼吸上皮细胞。
以下关于SCLC的选项那一项是错误的?
A、SCLC是一种恶性上皮肿瘤,由圆形、椭圆形或纺锤形并缺乏细胞质的小细胞组成。
B、组织学上来讲,SCLC分化程度较低,属于高等级神经内分泌癌。
C、SCLC患者事后分析,有可能发现SCLC与NSCLC共存。
D、小细胞癌症只会起源于肺部。

答案:D、小细胞癌症只会起源于肺部
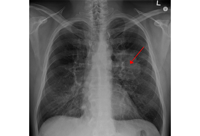
大多数SCLC(约95%)起源于肺部,但剩余的会起源于肺外结构,如鼻咽、胃肠(GI)道、泌尿生殖(GU)道。肺癌可起源于支气管、细支气管和肺泡(如图所示)。

胸腔X光显示左肺上叶大肿瘤(红色箭头)

20世纪上半叶美国烟草消费的大量增加导致了20年后肺癌死亡人数的同步性增加。此图为1900s-1970s美国烟草消费(每人每年吸烟量)的增加及相关的肺癌死亡数(每10万人死亡)的增加。

无论对于SCLC或是NSCLC,依据AJCC的肿瘤-淋巴结-转移(TNM)分期系统进行临床分期均有助于预后评估[1]。
对于SCLC全部分期,以下哪些不是必要的?
A、血清碱性磷酸酶(ALP)水平
B、完全血细胞计数(CBC)、血清电解质水平、肝功能(LFTs)
C、静脉滴注对比剂的胸腔、腹腔和骨盆CT
D、如果怀疑为局限期则使用PET-CT
E、静脉滴注对比剂的脑MRI或脑CT
F、以上均为必要的

答案:F、以上均为必要的
全部肺癌分期要求进行A、B、C、D、E中列出的所有检测。可能会进一步要求纵膈镜检查、骨髓活检及骨扫描以确定局限期和广泛期。局限期与广泛期的巨大区别(如图所示)常常用来指导SCLC的治疗[2]。

肺癌包括多种组织学亚型,这些亚型与不同的治疗方案和预后相关[3]。饼状图显示了这些组织学亚型的相关频率。此外,它还将每组患者分成无吸烟史和有吸烟史部分。其中,有吸烟史部分包括近期吸烟史,早期吸烟史和1年吸烟史。

表格中为各种肺癌组织学亚型的标准免疫组化检测[4]。

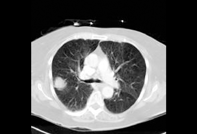
SCLC既能表现为中心性,也能表现为外周性。轴向CT为右肺外周性SCLC。

图为一名吸烟SCLC患者的肺横断面标本。白色区域为肿瘤,黑色区域为被吸烟影响的肺组织。
参考文献
1.Rami-Porta R, Crowley JJ, Goldstraw P. The revised TNM staging system for lung cancer. Ann Thorac Cardiovasc Surg. 2009 Feb;15(1):4-9.[PMID: 19262443].
2.Staging for small cell lung cancer. American Cancer Society. January 13, 2015; Accessed June 19, 2015.
3.Kenfield SA, Wei EK, Stampfer MJ, Rosner BA, Colditz GA. Comparison of aspects of smoking among the four histological types of lung cancer. Tob Control. 2008 Jun;17(3):198-204. [PMID: 18390646].
4.Horn L, Pao W, Johnson DH. Neoplasms of the lung. In: Longo DL, Kasper DL, Jameson JL, Fauci AS, Hauser SL, Loscalzo J. Harrison's Principles of Internal Medicine. 18th ed. New York: McGraw-Hill; 2012:chap 89
医脉通编译自:Small Cell Lung Cancer: Beating the Spread,Medscape,June 25,2015