医脉通编译,转载请注明出处

图为肺癌细胞分裂的扫描电镜照片
关于SCLC,以下哪个选项是错误的?
A、通常SCLC非常具有侵袭性、高速生长并快速转移
B、SCLC与副肿瘤综合征显著相关,如Lambert-Eaton 综合征、促肾上腺皮质激素(ACTH)异位分泌、抗利尿激素分泌异常综合征(SIADH)及高钙血症
C、SCLC与突变相关,如exon 19缺失、exon 21置换以及表皮生长因子(EGFR)突变
D、SCLC经常扩散至肾上腺和脑部
E、大部分SCLC与吸烟史相关
F、在美国,无论男性和女性,SCLC均为第二常见的恶性肿瘤

答案:C、SCLC与突变相关,如exon 19缺失、exon 21置换以及表皮生长因子(EGFR)突变
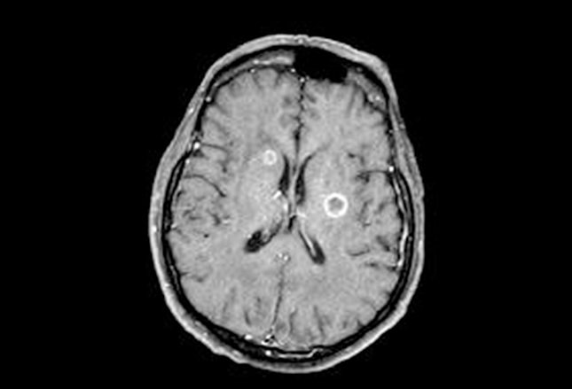
以上突变与NSCLC的相关性更加普遍。脑部是SCLC常见的扩散部位。上图为SCLC患者的脑部轴向对比剂增强MRI,室旁区可见两个环形强化病灶。

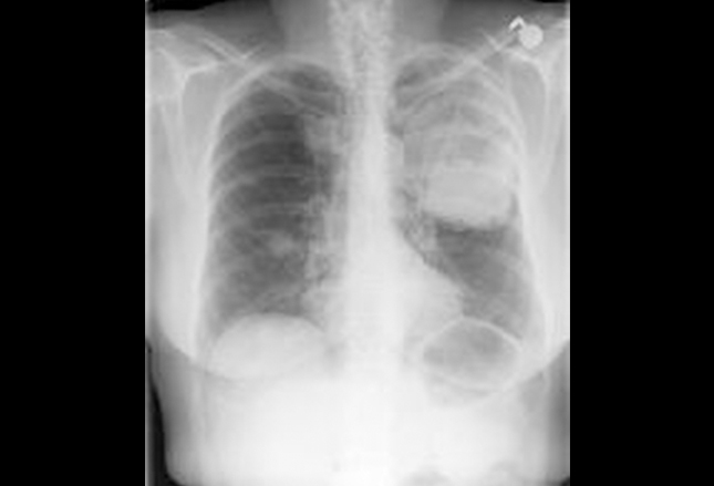
正面胸片显示左肺沉积扩张至左肺上叶,同时可见右肺中叶结节,以及广泛的气管周围淋巴结。

SCLC常见骨转移。上图为SCLC患者正面及背面全身骨扫描。脊柱、肋骨、左肩胛骨和骨盆均可见放射性示踪剂摄取,提示骨转移。
以下哪个选项是错误的?
A、30%-40%的SCLC患者有弥漫性疾病和广泛期的表现
B、广泛期SCLC一般不可治愈
C、对于局限期SCLC患者,化疗与胸部放疗联用可获得将近17个月的中位生存
D、较差预后的标识包括超过10%的体重减轻、较差的身体状况(PS)评分以及疾病的复发

答案:A、30%-40%的SCLC患者有弥漫性疾病和广泛期的表现
如(上篇第六张图中)表格所示,将近2/3的SCLC患者有广泛期的表现。
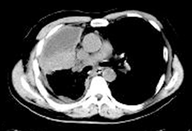
上图为SCLC患者的肺门CT扫描。右侧可见一个大的肺门肿瘤及肺膜增厚,提示胸膜转移。肿瘤组织周围可见局部肺积液,提示肺不张。

SCLC的进展可引起纵膈组织压力增加,导致进一步的并发症的发生。[1]
以下哪一项是纵膈组织压力增加导致的结果?
A、上腔静脉(SVC)综合征
B、压迫喉返神经导致的声嘶
C、压迫膈神经导致的横膈膜麻痹
D、压迫食道导致的吞咽困难
E、压迫大气道导致的喘鸣
F、以上均是

答案:F、以上均是
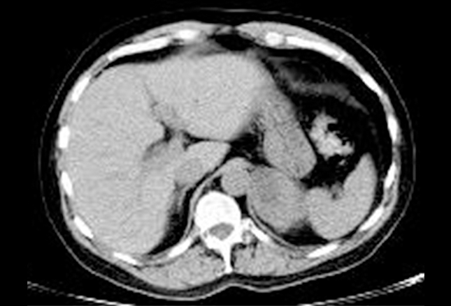
肾上腺也是SCLC扩散的常见部位。上图为腹部肾上腺处非增强CT扫描,可见大的低密度左肾上腺组织。对于SCLC患者,这种情况很可能是疾病转移的表现。

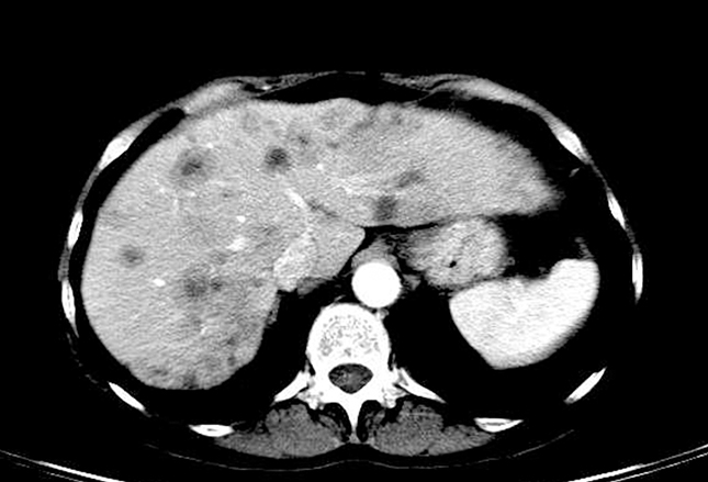
上图为SCLC患者对比增强CT扫描,显示出肝脏无数低密度病变。综合考虑SCLC病史、肝脏低密度病变及肝脏病变边缘模糊,该患者很可能发生SCLC转移。
关于局限期SCLC,以下哪个选项是错误的?
A、局限期SCLC应局限于两个射野内
B、局限期SCLC通常为Ⅰ-Ⅲ期(T1-2,M0),可采用明确的化疗和胸部放疗
C、治疗局限期SCLC的目标是达到治愈
D、可用PET-CT排除远端转移
E、胸膜受累提示疾病为广泛期

答案:A、局限期SCLC应局限于两个射野内
如(上篇第六张图中)表格所示,局限期SCLC应局限于一个射野内。[2]上图为SCLC患者冠状位PET扫描,可见左肺门和左肾上腺摄取增加,提示可能发生SCLC转移。
参考文献:
1.Tan WT, Maghfoor I. Small cell lung cancer. Medscape Drugs & Diseases. March 26, 2014; Accessed June 19, 2015.
2.Staging for small cell lung cancer. American Cancer Society. January 13, 2015; Accessed June 19, 2015.
医脉通编译自:Small Cell Lung Cancer: Beating the Spread,Medscape,June 25,2015