导读:
食管癌是一种预后较差的恶性疾病,各分期食管癌总的5年生存率大概在14%左右。组织学上,食管癌被分为上皮和非上皮来源的肿瘤。食管癌90%以上都是鳞癌(SCC)或者腺癌。SCC是世界上食管癌最常见的病理类型,特别是在亚洲、非洲部分地区以及欧洲。在美国,1960年SCC占全部食管癌的90%,但是之后食管癌的病理型构成发生了变化。包括胃食管交接部癌(GEJ)的食管腺癌在西方国家和美国显著增加,目前已构成食管癌50%的病理类型。
食管鳞状细胞癌
食管鳞癌在男性中高发。影响发病的最主要因素包括烟草和酒精、食品和水硝酸盐和亚硝酸盐污染及一些维生素的缺乏。
人类乳头状瘤病毒(HPV)感染被发现和食管鳞癌有关,在中国的食管鳞癌病例中都能检测出HPV DNA,而在西方国家的病例中往往是检测不出的。也有一相关疾病是食管鳞的致病因素,包括贲门失弛缓、Plummer-Vinson综合征(缺铁性吞咽困难)、误食酸碱后的食管狭窄和常染色体性遗传的掌跖角化病。另外,远端食管鳞也发生于Barrett食管基础之上,不过Barrett食管更多的是诱发腺癌。
食管鳞癌主要发生在食管中段(50%~60%)和下段(30%),上段(10%~15%)并不常见。食管鳞癌根据鳞状细胞分化程度可分为高、中、低分化。中分化鳞癌占食管鳞癌的大多数(2/3)。
低分化鳞癌和低分化腺癌的区别有时候是微妙的。免疫组化标记物细胞角蛋白(CK)5/6和p63作为鳞癌的特征性标记物,阳性率可达75%-93%,它们能被用来支持低分化鳞癌的诊断。局部的神经内分泌或腺体分化,腺癌与鳞癌混合(腺鳞癌)或鳞癌与神经内分泌癌混合的情况均可发生。

食管鳞状细胞癌的大体表现和组织学特征。(A)—个大的蕈伞形和外生型鳞癌。(B)具有堆积状边缘的溃疡型鳞癌。(C)分化良好的鳞癌,成片的新生鳞状细胞伴随单细胞角化和显著的鳞状细胞珠形成(箭头)。(D)分化较差的鳞癌,有着坚固的生长方式和核多形性,未见明显的角化。
不同类别的鳞癌
◆基底细胞鳞癌
基底细胞鳞癌是一种不常见的食管鳞癌特殊变种,主要见于高龄患者,典型表现是大块的蕈伞状肿物伴随溃疡和狭窄。

基底细胞鳞癌(SCC)。(A)低倍镜下典型的基底细胞鳞癌,可见大的圆形基底样细胞巢和栅栏样结构。(B)基底细胞鳞癌的中心粉刺样坏死(箭头)。(C)透明样基质包围着压缩的瘤巢,偶有小的腺体样结构。
基底细胞鳞癌经常伴随鳞状细胞不典型增生、侵犯性的鳞癌或者鳞状细胞岛状分化。其增生活性和凋亡率比典型的鳞癌高。基底细胞鳞癌CK5/6呈阳性但是嗜铬粒蛋白和突触素等神经内分泌标记物呈阴性。
◆疣状鱗癌
疣状鳞癌是鳞癌的一种少见变种,组织学上与其他器官来源的疣状癌相似。大体上,这些肿瘤有着外生的、乳头状和菜花状的外表,而且倾向于在出现症状并且能够诊断之前长大并环绕食管内壁一周。食管疣状鳞癌是一种低级别的恶性肿瘤,它生长缓慢,局部侵犯而很少发生淋巴结转移。
◆肉瘤样癌
这是一种鳞癌的少见变种,又被称为癌肉瘤、息肉状癌和梭形细胞癌。这种肿瘤有息肉状的大体外表,可以生长至平均直径6cm。组织学上,肉瘤样癌的特征性表现是癌成分和纺锤细胞(肉瘤样的)成分二相性出现。在诊断时,已经有40%~50%的病例出现了淋巴转移,而且与同分期比较的话,预后与鳞癌差不多。
◆癌前病变:鳞状细胞不典型增生(上皮内瘤变)
食管鳞癌被认为是一个多阶段过程,包括癌前病变(鳞状细胞不典型增生或称上皮内瘤变)直到侵袭性的鳞癌。不典型增生的定义是:局限于黏膜内的细胞形态和结构上的新生上皮细胞出现。鳞状细胞不典型增生可以进一步分为低度或高度不典型增生。
低度不典型增生可以恢复为常鳞状上皮(比高度不典型增生常发生),但是有15%的患者进展为高度不典型增生。中国进行的一项前瞻性随访研究中,鳞状细胞不典型增生患者在15年内有9%发展为侵袭性鳞癌,而高度不典型增生患者在8年内30%发展为鳞癌。

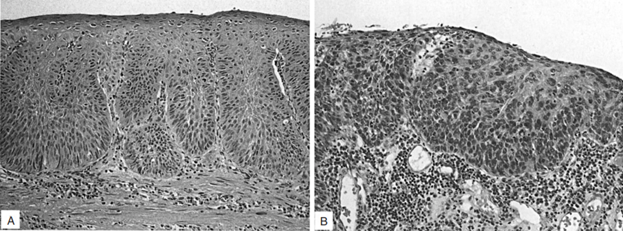
食管鳞状细胞不典型増生(上皮内瘤变)。(A)低度鳞状上皮不典型増生以新生鳞状上皮増生局限在上皮层的下一半为特征。(B)高度鳞状上皮不典型増生显示为上皮全层受累,新生鳞状细胞很大程度上有着结构混乱和细胞异型性。
神经内分泌癌
◆类癌
食管类癌(高分化神经内分泌肿瘤)比较少见。它们常表现为孤立的肿瘤小结节或者与腺癌伴发。组织学特征与消化道其他部位的类癌相同。类癌肿瘤由致密的癌巢组成,这些癌巢由具有“椒盐状”核染色质的肿瘤细胞组成,他们表现出神经内分泌化、免疫组化嗜铬粒蛋白和突触素阳性。
◆小细胞癌(低分化的神经内分泌癌)
低分化的神经内分泌癌仅占食管癌的1%~2%。 它们常位于食管下段,并且倾向于形成大块的外凸性肿块。食管小细胞癌在组织学上与肺的小细胞癌相似,是一种侵袭性的恶性病变,预后差,中位生存期只有6~12个月。小细胞癌与基底细胞鳞癌的鉴别诊断对选择适当的新辅助治疗很重要。
腺癌
由于20世纪70年代以来食管胃连接部(EGJ)腺癌发生率的增加,腺癌在西方国家已逐渐成为食管癌的主要组织学类型。大多数(>95%)的食管腺癌与Barrett食管有关, Barrett食管的特征是食管管道中的肠上皮化生(杯状细胞),可见于大约10%的慢性胃食管反流患者中。
胃食管连接部的腺癌既可起源于胃贲门又可起源于Barrett食管的小片段。胃食管连接部腺癌的处理仍存在争议,但是临床上如果近端胃壁(距胃食管连接部>2 cm)没有受累的话,可以当做远端食管腺癌处理。
进展期的食管腺癌大体病理与鳞癌相似,浸润型最常见(40%~50%),其次是蕈伞型或息肉型(25%~35%),最后是扁平型(10%~15%)。下段食管肿瘤直接侵犯胃食管连接部和贲门的情况比较多见。
Barrett黏膜在一些病例中可能由于进展期腺癌快速生长而被较大的肿瘤团块所掩盖。多灶肿瘤偶有发生,在病变片段较长的Barrett食管上发生的早期肿瘤中更为常见。

食管腺癌的大体表现。(A)—个息肉状的浅表侵犯的腺癌(箭头)发生于食管下段的Barrett黏膜。(B)远端食管的一大块有溃癀的蕈伞状肿物凸入贲门。Barrett食管的背景呈经典的橙红色。(C)上段食管息肉状生长的腺癌(箭头),起源于异位的胃组织(井盖状)。镜下高到中分化的腺癌(D)与异位的胃贲门状上皮灶(E)相邻。
腺癌根据腺体的分化程度被分为高、中、低三级。特殊类别的食管腺癌包括占病例总数5%-10%的黏液腺癌(特征为大量的黏液池中漂浮着癌细胞簇),以及约占病例总数5%的印戒细胞腺癌。

腺癌的组织学特征。(A)中分化腺癌伴随腺体形成。(B)实质性或鞘状生长方式的低分化腺癌,无明显的腺体分化。(C)黏液腺癌的特征是成簇的腺癌细胞漂浮在细胞外黏液池中。(D)印戒细胞癌中独立的新生肿瘤细胞有着印戒状外形。
◆癌前病变:Barrett食管(上皮内瘤变)
Barrett食管是大多数食管腺癌的前期病变。积累的形态学和分子生物学证据指出:食管腺癌的发生顺序是Barrett化生—不典型增生—腺癌。Barrett不典型增生通常没有明显的大体表现,而通过系统采样能发现橙红色的、扁平的Barrett黏膜。在一些病例中,不典型增生病可表现为糜烂、结节和息肉。
Barrett不典型增生能够被进一步细分成低度和高度不典型增生两级,当组织学区分介于不典型增生与退行性异型之间时,可以做出“不确定的不典型增生”的诊断。

Barrett食管的组织学分级。(A)没有不典型增生。柱状上皮包含小核位于基底部的杯状细胞。(B)不确定的不典型增生。柱状上皮有轻度的核假复层和隐窝状结构混乱,但是表面上皮分化成熟。(C)低度不典型增生。新生的柱状上皮增生伴有轻到中度的核染色质过多和假复层分布,局限在黏膜层的下一半。(D)高度不典型增生,特征为细胞胞浆缺乏、明显的核染色质过多、过高的核质比和明显的隐窝状结构混乱。
