头颈部鳞癌占全身肿瘤的5%。头颈部原发恶性肿瘤有无淋巴结转移对预后很重要。头颈部鳞癌中,淋巴结越大,包膜外侵犯的机会越大。约50%的转移淋巴结大小为2~3 cm。大于3 cm的淋巴结中,75%发生包膜外侵犯。无论原发灶大小,单个同侧淋巴结转移降低生存率50%,对侧再降低50%。包膜外侵犯提示治疗效果不好,生存率降低50%。Ⅳ区、Ⅴ区的淋巴结转移预后差。
淋巴结病变的诊断标准
(一)淋巴结病变的诊断标准
单个淋巴结增大,直径1.0 cm;淋巴结边界不清;多发淋巴结,直径6~15mm;淋巴结与邻近软组织边界模糊;中央低密度(表1和表2)。

表1

表2
(二)颈部淋巴结分区
目前,影像学为基础的头颈部淋巴结分区。80%头颈部恶性肿瘤治疗前均行MR、CT检查;影像学检查能够发现临床上静止的淋巴结;影像学能够清晰地显示淋巴结的解剖学界限。分为7区(图1):

图1
Ⅰ区:双侧颌下腺后缘之前(图2)。

图2 女性,45岁,淋巴瘤。显示双侧腮腺区、左侧咽后区淋巴结增大,病变无融合倾向。
Ⅱ区:双侧颌下腺后缘之后至双侧胸锁乳突肌后缘之前。
下颌骨下缘至舌骨体水平。
ⅡA区:双侧颈静脉周围(图3和图4)。

图3 女性,45岁,淋巴瘤。(A)黑箭显示双侧IB区淋巴结,白箭显示ⅡA区淋巴结。(B)白箭显示ⅠA区淋巴结,黑箭显示左侧Ⅴ区淋巴结。

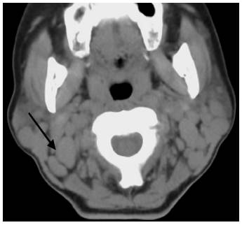
图4 女性,56岁,箭头显示右侧颈部ⅡA区转移性低分化癌。
ⅡB区:双侧颈静脉后方(图5)。

图5 女性,45岁,淋巴瘤。黑箭显示双侧ⅡB区淋巴结。
Ⅲ区:双侧颌下腺后缘之后至双侧胸锁乳突肌后缘之前。
舌骨体水平至环状软骨之间(图6)。

图6 显示左侧Ⅲ区颈部淋巴结转移。
Ⅳ区:双侧颌下腺后缘之后至双侧胸锁乳突肌后缘之前。
环状软骨至胸骨柄上缘之间(图7)。

图7 淋巴瘤。箭头显示右侧Ⅳ区,左侧Ⅴ区淋巴结增大。
Ⅴ区:双侧胸锁乳突肌后缘以后的颈部区域(图7)和(图8)。

图8 淋巴瘤。黑箭显示双侧锁骨上窝淋巴结增大。
ⅤA区:环状软骨水平以上。
ⅤB区:环状软骨水平以下。
Ⅵ区:双侧颈静脉内侧,靠近气管、甲状腺。
Ⅶ区:上纵膈淋巴结。
(三)淋巴结引流
Ⅰ区:口腔前部、嘴唇、鼻窦。
Ⅱ区:口腔后部、鼻咽、口咽、声门上区、腮腺。
Ⅲ区:声门、声门下、下咽。
Ⅳ区:声门下、甲状腺、颈部食管、舌前部。
Ⅴ区:鼻咽、颈部皮肤及枕部。
本文内容节选自《头颈肿瘤学及手术修复》,由天津科技翻译出版有限公司出版。医脉通已获得出版社授权。欲了解更多内容,欢迎阅读原版书籍。
