医脉通编译整理,未经授权,请勿转载。
肺腺癌 ( lung adenocarcinoma )是肺癌的一种,属于非小细胞癌 。不同于鳞状细胞肺癌 ,肺腺癌较容易发生于女性及不抽烟者。目前,已有充分的循证医学证据显示,非小细胞肺癌,尤其是肺腺癌可以选择最佳个体化治疗手段,但前提条件是治疗前须对肺腺癌进行全面的组织学分类,这也向影像学提出了更高的要求。
腺癌细胞异型性明显,结构不一。有的呈实性团块或小条索状排列,有的可见腺腔形成,有的排列成管状或腺样结构。在没有吸烟史的情况下,这些结构可能被初步误诊为传染性或炎症性疾病,往往延误了恶性肿瘤的诊断。我们报告了两例相对较短或没有吸烟史的女性患者弥漫性肺部浸润情况,在原发性肺癌中不常见,从而造成了诊断困难,最终被确诊为原发性肺腺癌。
病例1
女,53岁,非洲裔美国人,无吸烟史,有糖尿病和高血压病史,主诉咳嗽、呼吸短促。两周前开始伴有咳嗽的进行性呼吸困难。一周前接受未知的抗生素治疗。无咯血,皮疹、关节肿胀。无传染病接触史,无恶性肿瘤史。患者心率(HR)为110次/分钟,呼吸频率(RR)25次/分钟,血氧饱和度为92%,血压135/82 mm Hg,双肺底湿罗音。心脏检查显示S1 / S2正常、P2正常。实验室检查显示白血细胞(WBC)计数为11,800 / mm3,79%为多形核白细胞(PMN),15%淋巴细胞,3%单核细胞和2%嗜酸性粒细胞。

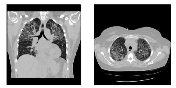
图1. CT胸部轴向(左)和冠状(右)图像
超声心动图结果表明保留的射血分数与无室壁运动异常。胸片是值得注意的弥漫性双侧浸润。因此,计算机断层摄影(CT)胸部表现出弥漫性双边融合结节和空气中的混浊与巩固的地区。基于这些发现一开始怀疑感染。进一步的住院治疗显示没有在痰和血培养物上分离出病原体。微生物学耐酸菌的涂片和培养呈阴性。其他包括自身免疫性血清学和超敏反应板也在正常范围内。
患者接受光纤支气管镜检查(FOB)检查显示微量的粘液脓肿分泌物位于下叶的基底段双侧支气管。气道无病变。支气管洗涤液也被用于细胞学检查,真菌,细菌和病毒革兰氏染色和培养,结果都为阴性。患者在整个病程中没有发烧,但存在呼吸困难和咳嗽,并需要补充氧气。
住院十二天后重复CT检查发现双肺广泛的融合性结节,左上叶和纵膈淋巴结发现集中区域(见图1)。由于病因不明的弥漫性网状结节,CT导向活检左侧进行上叶巩固。鉴于分子诊断指导临床治疗决策的重要性,对患者进行分子标志物检测结果显示表皮生长因子受体(EGFR)阳性 p.L858R突变(见图2)。

图2.腺泡样腺癌,TTF-1阳性(左)和低功率显微照片(右)免疫染色。
病例2
女,36岁,白人,吸烟史十三年,两月前出现呼吸急促。在此期间,患者被认为是无法解决的复发性肺炎,并已接受过多种抗生素治疗以及类固醇治疗。除呼吸急促外,患者下腰部出现钝痛。除此以外,患者无咳嗽,视力变化,咯血,步态异常,便秘或尿失禁。无酒精或药物滥用。体格检查显示HR 112 bpm,RR 20 bpm,血氧饱和度为95%,血压为114/97 mmHg。肺部检查发现弥漫性支气管呼吸音,位于后肺部。实验室检查显示白细胞计数为14,800 / mm3,其中77%为PMN,12%为淋巴细胞, 9%单核细胞和2%嗜酸性粒细胞。 CT胸部成像显示弥漫性双侧间质性浸润,最常见于上肺混合磨砂玻璃渗透(见图3)。

图3.具有冠状(左)和CT(右)图像的CT胸部显示弥漫性双侧间质浸润。

图4.显微镜乳头状腺癌的显微照片。
进一步的住院治疗包括细菌,真菌和病毒培养,免疫学检查结缔组织病,筛查免疫缺陷,结果显示正常。
患者支气管镜肺泡灌洗检查发现左侧下叶病变。细胞学和病理学结果显示细胞具有明显的异型性,并且由于肿瘤不能排除,患者被安排进行辅助胸外科手术(VATS)。 VATS期间,多发胸膜结节在顶叶胸膜上被发现,结果显示为微乳头状腺癌。
浸润性微乳头状癌(invasive/infiltrating micropapillary carcinoma,IMPC)是一种特殊类型的乳腺浸润性癌。在免疫组化特点上,肿瘤细胞巢团、微乳头和腺管表面(面向间质侧)EMA呈阳性表达,是IMPC的特点。
讨论
肺腺癌 ( lung adenocarcinoma )是肺癌的一种,属于非小细胞癌 。不同于鳞状细胞肺癌 ,肺腺癌较容易发生于女性及不抽烟者。上述两个病例分别为不同亚型的肺腺癌。第一例腺癌多为腺泡型;第二例属于微乳头状腺癌。鉴于肺腺癌的非特异性表达,需要与传染性和弥漫性间质性肺病鉴别。特别是年轻女性,相对较少或没有吸烟史。在这两个病例中,患者症状相似,无吸烟史的患者极有可能被误诊为传染性或炎症性疾病,往往会导致恶性肿瘤的延迟诊断。早期诊断的准确性对于原发性肺腺癌患者来说有助于及时制定治疗计划以及实现更好的预后。
参考文献
Diffuse pulmonary infiltrates: A guise of adenocarcinoma,Respir Med Case Rep. 2017 Aug 6;22:150-153.